2025 Highlights
Montefiore Einstein Otorhinolaryngology–Head & Neck Surgery
Richard V. Smith, MD, Chair, Otorhinolaryngology– Head & Neck Surgery
Note from the chair
This year we have been recognized by US News and World report for our excellence, being listed in the top 50 programs in the country for the first time. Our entire Department contributed to this wonderful affirmation of our department’s excellent patient care, educational efforts and research portfolio.
Richard V. Smith, MD, Chair, Otorhinolaryngology– Head & Neck Surgery
DATA & STATISTICS
2025 by the numbers
8
publications
0 of 0
centers in North America utilizing Aura intraoperative PET-CT technology
2%
increase in head and neck cancer patient volume, reflecting expanded access and multidisciplinary care
1
active research grants
Innovations and achievements
Pioneering the future of treatment and care
Team News
Updates and additions to our world-renowned care team
Advancing care through clinical trials
Montefiore Einstein Otorhinolaryngology-Head & Neck Surgery participates in both national and clinical trials, a selection of which are highlighted below.
Testing the Addition of an Immunotherapy Drug, Cemiplimab (REGN2810), Plus Surgery to the Usual Surgery Alone for Treating Advanced Skin Cancer
- PI: Helena Levyn
- Sponsor: NCI
Paclitaxel-Coated Pulmonary Balloon for the Treatment of Benign Central Airway Stenosis (OXYGEN-RCT)
- PI: Ronda Alexander, MD
- Sponsor: Airiver Medical, Inc.
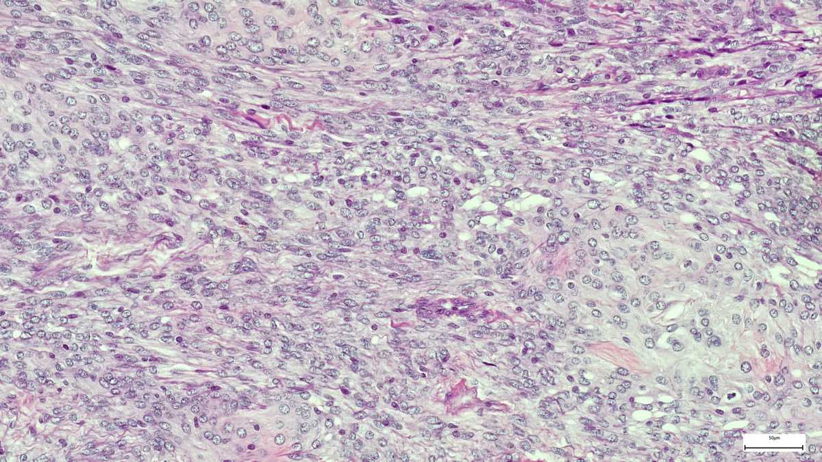
Molecular and Genomic Profiling of Head and Neck Tumors
- PI: Richard V. Smith, MD
- Sponsor: Montefiore Einstein
Research Review
Improving care and outcomes through research
Over the course of 2025, members of our department published 59 manuscripts in peer reviewed publications.
Patient referrals
At Montefiore Einstein Otorhinolaryngology–Head & Neck Surgery, we know that providing patients with the best possible care includes teamwork and trust. We work closely with our valued referring physicians to ensure open communication and reliable expertise.
Contact us
Gladys Padilla
Administrative Assistant to the Chair
gpadilla@montefiore.org
Montefiore Einstein Otorhinolaryngology–Head & Neck Surgery
Residency Program Virtual Tour


































































